meny-rapporter.gif (2417 bytes)

rub-bransch.gif (566 bytes)

bottenlog.gif (1497 bytes)

 

domannamn.gif (5516 bytes)

Kalender stripe-fix.gif (52 bytes) Översiktskarta stripe-fix.gif (52 bytes) Webmail stripe-fix.gif (52 bytes) Länkar stripe-fix.gif (52 bytes) ODIS? stripe-fix.gif (52 bytes) E-post stripe-fix.gif (52 bytes) Sök
Tillbaka

Trauma. Partiell Pulpektomi enligt Cvek

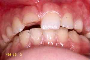
Michaela kom till kliniken 961202 med komplicerad kronrotfraktur med pulpablotta på 11. Hon ramlade och slog sig tre dagar innan och tanden har stått öppen sen dess.

961202
Jag har här borrat in ca 2 mm och preparerat med high-speed för att senare göra direktkompositfyllning. Här kontrollerar jag att det verkligen finns plats för Calxyl, fosfatcement och även för en del av fyllningen mellan pulpan och frakturlinjen. Jag applicerar Calxyl ur kanyl mot pulpan som jag sedan med lätt tryck (pellet) ser till att det är tätt, utan blödning. För att senare kunna göra en direktfyllning utan att Calxylen försvinner gör jag en tunn fyllning mot Calxylen med Harvard fosfatcement.

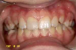
970818
Sekundärdentinbildning med tydliga gränser mellan Calxyl fosfatcement och komposit.

970818
Ca nio månader efter trauma. 11 Reagerar normalt på perk, kron, apikalömhet. Tanden reagerar normalt vid vitalitetskontroll med kyla. Direktfyllning gjord med One-Step och Ana-norm.

För diskussion om patientfallen hänvisar vi till
ODIS Öppet Forum.

Tdl
Mats Brontén

Skaffa dig eget Domännamn.
bottennavi.gif (840 bytes) odis-logolong.gif (1127 bytes)
 © ODIS-1998