meny-rapporter.gif (2417 bytes)

rub-bransch.gif (566 bytes)

radio.gif (636 bytes) rattsrod.gif (857 bytes)

 

bottenlog.gif (1497 bytes)

 
monthly reports forensic-
odontology

by Leif Kullman

The Swedish Identification Commission

Forensic odontology had in the 1950`s and 1960`s established itself to be a reliable tool to perform accurate identifications as secure as fingerprints. A prerequisite being that antemortem records were available (dental records and radiographs from the treating dentist) and that enough of the body and jaws including teeth are in place after death (postmortem).

Some air crashes with Swedish citizens involved happened during these decades. Mainly as a continuation of new tourists trends a new problem arose for the authorities, when a lot of persons were killed abroad. Especially in countries having religious and climate based reasons to fast burying of deceased human beings, keeping in mind the fast putrefaction of the bodies this problem was accentuated. Earlier the only way to accomplish an identification and a transport home of the burned and in other ways destroyed bodies had been to use a confrontation identification method, that is a visual recognition of the body by i.e. some relative. A useful help during this process had been to use clothes and more permanent belongings of the body for example jewellery and rings. Several times it has however been proven that mistakes were made using this method.

Therefore in Sweden and some other countries the authorities now thought it was a much too difficult and psychological pressured situation to have to recognise the body of some relative during circumstances like this and national expert commissions were created with the mission to perform these identifications.

The members of the commission
The members in the Sweden commission are two policemen (one chief and inspector and one technician) and one doctor in Forensic medicine and one in Forensic Odontology.

Each member has his own substitute. From the beginning the idea was that this commission should act upon different accidents abroad. In co-operation with the ministry of Foreign Affairs the police take the decision to participate in the work after an accident. As fast as possible all antemortem records (dental, medical and policiary) are collected and the commission leave after that to start the postmortem investigations in the place where the accident has happened.

Way of working
However, before this work can start a contact must be taken with the authorities in the country where the accident has taken place. A permission to work must be obtained from them. Sometimes it may be necessary for the commission to leave Sweden immediately, before the antemortem records have been collected. During such circumstances it is possible to take help of the substitutes in Sweden, to collect the material. This material can later on be sent down to those working on the accident place by means of a telex or even by means of email and Internet.

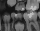
When all postmortem examinations have been done, comparisons between the ante- and postmortem examinations must be done. During this procedure it is of great value to have access to an identification program with a possibility to register all examinations. I have described this procedure in a foregoing message, by means of such a program a first matching of the ante- and postmortem examinations can be done. It is useful here to use an international program if several different countries are involved, and such a program has been constructed by means of the international police organisation-Interpol. Often, especially if there are only antemortem radiographs available, the same radiographs must be taken postmortem. In an example downunder you can see the antemortem radiograph to the left and the postmortem to the right.

Image 1Image 2

The victim in this case was a child, who was a passenger in a bus who crashed against a mountain side in Norway 1988. A very safe identification could be established by means of the radiographs. In fact, intraoral radiographs is one of the most accurate identification methods.

Next month I will tell you more about different ways to perform an odontological identification and the accuracy and security of the methods.

                                                                                            Leif Kullman
bottennavi.gif (840 bytes) odis-logolong.gif (1137 bytes)
 © ODIS-1998